Dr Gaurav Dental Clinic and Implant Center

77K+ Satisfied Patients

Dental Crowns and Bridges in Varanasi

Restore your smile’s strength, function, and beauty with precision-crafted dental crowns and bridges in Varanasi at Dr Gaurav Dental Clinic and Implant Center. Dr Gaurav uses state-of-the-art digital technology and personalised care to deliver durable, natural-looking restorations that stand the test of time.

Call Now
Portrait of Dr. Gaurav Gupta in green scrubs, expert in dental crowns and bridges in Varanasi
Most crowns and bridges treatments are completed within 2 hours, typically spread across two appointments for preparation and fitting.
0 Hrs
The cost for a single crown usually ranges from ₹5,000 to ₹30,000, while a bridge for multiple teeth generally costs between ₹20,000 and ₹100,000, depending on material and case complexity.
8090
With good oral hygiene, crowns and bridges usually last more than 20 years, providing durable function and appearance.
0 + Years

What Are Dental Crowns and Bridges?

Dental Crown: A custom-made cap that covers a weakened, decayed, or discoloured tooth to protect it and restore its shape.

Dental Bridge: A fixed restoration that spans the gap left by one or more missing teeth, anchored on neighbouring crowned teeth or implants, with a pontic (artificial tooth) in between.

 

Who Needs Dental Crowns and Bridges?

Intra-oral photo of multiple prepared tooth stumps before crown placement

Types of Dental Crowns and Bridges

Metal–Ceramic (PFM): Strong metal base fused with tooth-coloured porcelain for durability and a natural look.

All-Ceramic / All-Porcelain: Metal-free, highly aesthetic crowns ideal for front teeth and patients with metal sensitivities.

Zirconia Crowns: Ultra-strong, biocompatible, and lifelike—an excellent blend of strength and translucency.

E.max (Lithium Disilicate): Premium glass-ceramic for superior aesthetics in highly visible areas.

Conventional Bridge: Two crowns on teeth beside the gap, with one or more pontics in between.

Cantilever Bridge: Supported by a crown on only one adjacent tooth-suitable when space is limited.

Maryland (Resin-Bonded) Bridge: Minimal-prep option using a metal or ceramic wing bonded to the back of neighbouring teeth.

Implant-Supported Bridge: For multiple missing teeth, anchored on two or more dental implants instead of natural teeth.

Hand holding a three-unit porcelain bridge with single crowns on table

Procedure for Crowns and Bridges

A step-by-step overview of how crowns and bridges are placed at Dr Gaurav Dental Clinic and Implant Center.

4_Dental Checkup

01. Evaluation

We begin with a full dental exam, intraoral scans, and X-rays to assess tooth structure, bite alignment, and bone levels.

26_Anesthesia

02.Tooth Preparation

The affected tooth (or teeth) is gently shaped to create space for the crown. If you’re receiving a bridge, adjacent teeth are prepared to anchor the restoration.

31_X Ray

03. Gum and Tissue Management

Soft-tissue retraction ensures pristine margins. We use gentle techniques to maintain gum health.

37_Dental Record

04. Digital Impression

A precise digital scan captures every contour. Our in-clinic shade guide and digital imaging ensure your new crown or bridge blends seamlessly with your natural teeth.

44_False Teeth

05. Temporary Restoration Placement

A comfortable temporary crown or bridge protects your prepared tooth and preserves function while your permanent restoration is fabricated.

29_Dental Floss

06. Lab Fabrication

Using computer-aided design and milling your crown/bridge is crafted in high-strength ceramic, zirconia, or metal-porcelain, ensuring perfect fit and finish.

41_Dental Crown

07. Final Fitting

We remove the temporary, check the fit, bite, and aesthetics, then permanently bond your custom restoration. Minor adjustments guarantee comfort and precision.

23_Dental Cleaning

08. Polishing and Final Check

A final polish creates a smooth surface that feels natural. We verify your bite, smile symmetry, and your satisfaction.

Post-Treatment Care for Dental Crowns and Bridges

Close-up of zirconia bridge and single crown on blue lab model

Benefits of Dental Crowns and Bridges

Restored Function: Chew and speak normally without discomfort.

Enhanced Aesthetics: Natural-looking restorations that blend with your smile.

Long-Term Durability: With proper care, crowns and bridges can last 10–15 years or more.

Bone Preservation: Bridges and implant-supported options prevent bone loss in the jaw.

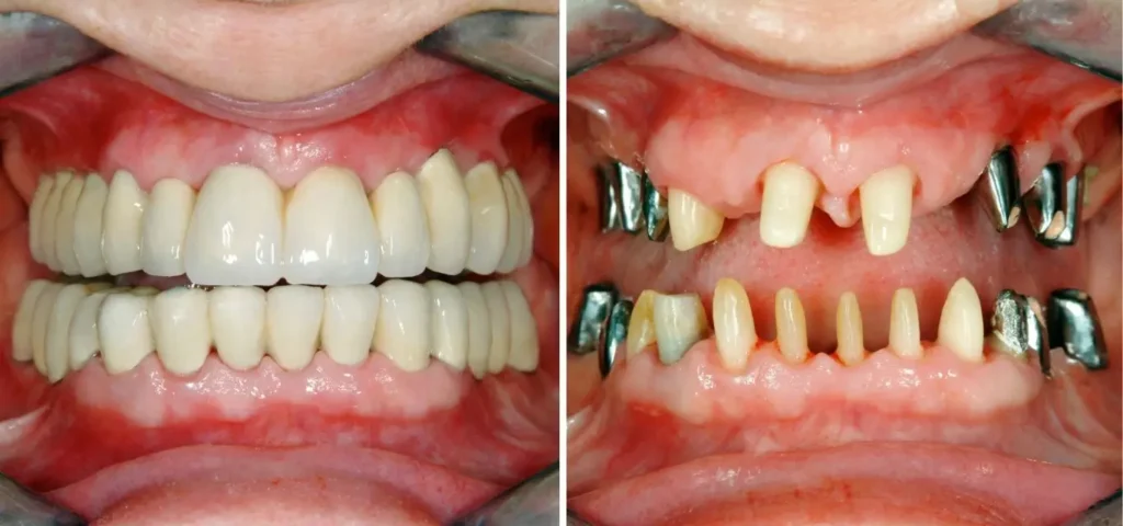
Side-by-side before and after full-arch crowns and bridges treatment

Your Questions Answered, Simple and Clear

Find quick answers to common questions about our services, procedures, and patient care for your convenience.

Call Now
Portrait of Dr. Gaurav Gupta in green scrubs, here to answer your dental FAQs
What is the cost of crown and bridges?

Dental crowns typically cost ₹5,000-₹30,000 per tooth, while bridges range from ₹15,000-₹50,000 per tooth depending on material, quality and brand.

How long do crowns and bridges last?

With good oral hygiene and routine check-ups, most crowns and bridges last more than 20 years, and many remain functional well beyond that window.

Is a root canal always required before placing a crown?

No. Back teeth that have large fillings or cracks often need root canal therapy first, but many front teeth accept crowns without it when the nerve is healthy.

What foods should I avoid after getting a crown or bridge?

Skip sticky sweets like caramel, hard nuts, unpopped popcorn, and very hot drinks for the first few weeks to protect fresh cement and prevent cracks.

Why does my tooth feel sensitive after a crown, and how can I manage it?

Temporary heat-or-cold sensitivity is common for up to six weeks while the pulp calms; brush gently with a desensitizing toothpaste and call us if pain persists.

Will my crown or bridge set off airport metal detectors?

Ceramic or titanium-based restorations are small and non-magnetic, so they rarely trigger airport security alarms.

Will my crown or bridge stain if I smoke or drink coffee?

Porcelain and zirconia resist deep stains, but surface roughness from smoking, paan, or heavy coffee use can dull the glaze. Routine polishing at six‑month check‑ups keeps the restoration bright. Quit tobacco to protect both crown edges and natural teeth.

The best dental care I’ve ever experienced! Dr. Gaurav is professional, gentle, and truly cares about patients. My smile has never looked better. Highly recommend!

Happy patient showing radiant smile after cosmetic treatment
Smiling young woman after a successful teeth whitening treatment
Confident patient displaying straight teeth after orthodontic care

See You at Our Clinic!

Easily accessible from all major areas in Varanasi.

Get Directions